症例1
ホワイトニング

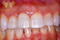
たばことコーヒーをよく飲まれる方で、歯の黄色さを気にして来院されました。

1ヶ月後のホワイトニング後の写真です。治療中はたばことコーヒーはやめて頂きました。そのかいもあって、真白くなりました。
▲ 症例メニューへ戻る
たばことコーヒーをよく飲まれる方で、歯の黄色さを気にして来院されました。
1ヶ月後のホワイトニング後の写真です。治療中はたばことコーヒーはやめて頂きました。そのかいもあって、真白くなりました。
前歯を強く打って神経が死んでしまい、変色しました。
死んでしまった神経を取って、裏からホワイトニングの薬を入れました。他の歯はさわっていませんが、自然な感じになりました。
「かぶせの色と歯の色が悪い」と来院されました。
先に、天然の歯を白くしました。かぶせの色が目立ってきました。
天然歯も白くなり、かぶせも最初よりはきれいな歯になりました。
保険の歯ですが、ここまでキレイになりました。
「歯の色が悪いから白くしたい」と来院されました。
拡大してみました。
少し白くなりました。
拡大してみました。
かなり白くなりました。
きれいな、とっても爽やかな口元になりました。とってもチャーミングです。
全体に歯の色が悪く、歯に横溝があり見た目がよくありません。
まず、上顎の前歯6本(犬歯から犬歯)をきれいにかぶせました。
次に下の歯をきれいにしました。
上下ともきれいな歯になりました。
「歯の色が悪い」と来られました。
上顎のみホワイトニングをしました。少し歯の色が白くなりました。
一番強力なホワイトニングのお薬です。
でも黒い歯はあまり色が変わりません。
他の歯の色が全体にきれいになったところで、黒い所を全部取りセラミックの芯を入れたところです。
裏側もセラミックの歯を入れたところです。
きれいな白い歯が揃いました。